Medical reasons for shoulder pain can range from a pulled muscle to a rotator-cuff tear to a heart attack or even lung cancer. Here’s what to look for.
Rotator-cuff injury

If your shoulder hurts enough for you to see a doctor, there’s a good chance the medical reason is you have a rotator-cuff injury. Researchers estimate that’s the reason for shoulder pain in two-thirds of people experiencing it, which is around 2 million Americans each year. While you expect to hear of athletes experiencing shoulder pain, it can strike anyone. As we age, tendons wear down, making us more prone to injury, including a tear. “This results in pain over the lateral shoulder, particularly with overhead movements and the lifting of arms away from the body,” says Miho Tanaka, MD, director of the Women’s Sports Medicine Program and associate professor of orthopedic surgery at the Johns Hopkins Hospital. “These symptoms often develop over time without one specific injury.” Anti-inflammatories and physical therapy can ease the pain, though in serious cases, surgery may be necessary. “If this pain is associated with true weakness and inability to lift the arm, and especially if there was an acute injury involved,” says Dr. Tanaka, “I would recommend not waiting to see a doctor.” Beware of these 13 everyday moves you make that actually hurt your body.
Osteoarthritis

Your older body tells tales about your younger one, especially when it comes to osteoarthritis. Shoulder pain from this degenerative joint disease can result from general wear and tear, a long-ago injury, or repetitive overhead motions due to a physically demanding job or sport. The cartilage and joint tissues deteriorate over time, increasing friction and causing pain, swelling, and decreased mobility. An estimated one in three people over the age of 60 suffer from it, according to the Arthritis Foundation. While there is no cure, it is treatable. “I would definitely not tell patients to simply learn to live with this,” says James Fedich, a New Jersey-based chiropractor. “There are many treatments that can help increase the motion and decrease the pain.” Conservative, non-invasive options include ultrasound, cold laser, manipulation, and strengthening exercises. For worsening pain, Fedich says patients can consider cortisone injections, new and experimental treatments like PRP (platelet-rich plasma) or stem cells, and joint-replacement surgery.
Frozen shoulder

The technical term for this shoulder affliction is adhesive capsulitis and the name is apt to those who suffer from it, as the shoulder feels utterly frozen in place. According to Dr. Tanaka, this inflammation of the lining of the shoulder joint presents in three stages: The freezing stage, which is characterized by pain during movement; the frozen stage, during which the shoulder is unable to move in certain directions; and the thawing stage when your range of motion starts to improve. “It is typically not associated with a major injury,” she says, “though some patients report having a minor ‘tweak’ that seems to set off the symptoms.” It affects 2 to 5 percent of the population, and it’s more common in women 40 to 60 and in people with diabetes. Treatment options include anti-inflammatories, injections, and physical therapy and acupuncture. Many make a full recovery after months of physical therapy. Surgery may be recommended in some cases, followed by physical therapy. Here are 14 secrets your physical therapist can tell about you.
Gallbladder problems

Yes, you read that right. Pain in your right shoulder could indicate that you have a gallstone that’s causing a blockage. Other likely areas for sudden and “rapidly intensifying” pain include the upper-right abdomen, the center of your abdomen below your breastbone, and between your shoulder blades. “A gallbladder issue is typically diagnosed by a primary-care physician,” says Dr. Tanaka, “and it would be apparent to them because the shoulder joint itself won’t hurt with movement.” High-fat, high-cholesterol, and low-fiber diets, as well as having diabetes or a family history of gallstones, can put you at increased risk for this condition. Treatments include medications to dissolve the gallstones, which could take months or years to work fully, or surgery to remove your gallbladder. These are the 9 best foods to eat for good gallbladder health.
Thoracic outlet syndrome

When the blood vessels or nerves between your collarbone and uppermost rib (the thoracic outlet) are compressed, it can result in this syndrome, characterized by shoulder and neck pain and finger numbness. According to the Mayo Clinic, this could result from a car accident, repetitive activity (from something as innocuous as typing or as strenuous as pitching a baseball), carrying heavy bags, obesity, or pregnancy. You could also be born with a predisposition to it if you have an extra rib or a particularly tight connective tissue between your spine and ribs. Physical therapy is the first line of defense, but in advanced cases or if nothing else seems to work, surgery may be recommended.
Pinched nerve

Got pain, numbness, and pins and needles in your shoulder, arm, and hand? There’s a good chance you’ve got a pinched nerve. It happens when a bone, bulging disc, or swollen tissue compresses the nerves that extend from the upper spine to the neck and shoulder. “The nerves come out of the spine in little channels. If the muscles around the spine pull too tight, as when we sleep awkwardly, the channel can get closed off, causing a pinch of the nerve,” says Fedich. “It’s like someone stepping on a garden hose; water can’t flow freely. In the spine, that will lead to pain wherever the nerve goes.” Sometimes this problem will go away on its own, but if it doesn’t, typical options include chiropractic adjustments, physical therapy, icing (and later, heating) the area, ibuprofen, and corticosteroid injections. Don’t miss these 8 proven ways to manage chronic pain without medication.
Fractured collarbone

Collarbone fractures are relatively common—and painful. It may be difficult to move your arm after a break, and your shoulder will hurt and sag forward and downward. This type of fracture generally results from a fall on, or other direct impact to, the shoulder. If your collarbone is broken, you’ll likely know it, says Dr. Tanaka: “It is very commonly localized, and most people can feel the ‘break’ in their collarbone because it is just under their skin.” Treatment usually entails an arm sling to stabilize the area and physical therapy; if, however, the bones have greatly shifted out of place, you might need surgery utilizing plates, screws, or pins.
Bursitis

You may never have heard of a bursa before—it’s a fluid-filled sac that cushions and protects your joints. If it gets inflamed, however, you will be painfully aware of your bursa. A common cause of shoulder pain, bursitis typically occurs in people over 50 who have diabetes or a weakened immune system; athletes can also be at risk, especially those who do a lot of repetitive overhead reaching, such as basketball players and swimmers. “I tell patients it’s like a ziplock bag with some water in it, so it protects you,” Fedich explains. “If you triple the amount of water in the bag, it gets swollen and hurts.” That pain, he adds, is “typically constant, present even during rest, and usually gets worse with activity.” Treatment includes NSAIDs (nonsteroidal anti-inflammatories, such as Aleve), ice, range-of-motion and strength exercises, and ultrasound therapy.
Fibromyalgia

You’ve probably seen commercials about this increasingly common condition, but you may still only have a hazy understanding of what fibromyalgia is. Unfortunately, that can also be the case for doctors, who often misdiagnose it; some don’t even believe this chronic issue is real. (A blood test led to this woman’s diagnosis—it wasn’t all in her head.) The five million people in the United States diagnosed with “fibro”—80 to 90 percent of whom are women—know all too well how real fibromyalgia is. According to Healthline, one telltale sign is a regular, dull, and otherwise inexplicable pain in multiple parts of your body. A common trigger point is the top of the shoulders; others include the back of the head, upper chest, hips, and knees. People can also experience symptoms like fatigue, difficulty sleeping, depression, headaches, anxiety, and trouble focusing. While there is no cure, treatment can include nerve-pain drugs like pregabalin (brand name: Lyrica), antidepressants, physical therapy and acupuncture, and a diet high in fruits and vegetables and low in meat and sugar. Many women report finding relief by balancing the ratio of omega 3s to omega 6s in their diet, with a 1:1 or 2:1 the sweet spot. There’s evidence to suggest an off-kilter fatty acids ratio increases inflammation. Here are 10 natural ways to treat fibromyalgia you didn’t know about.
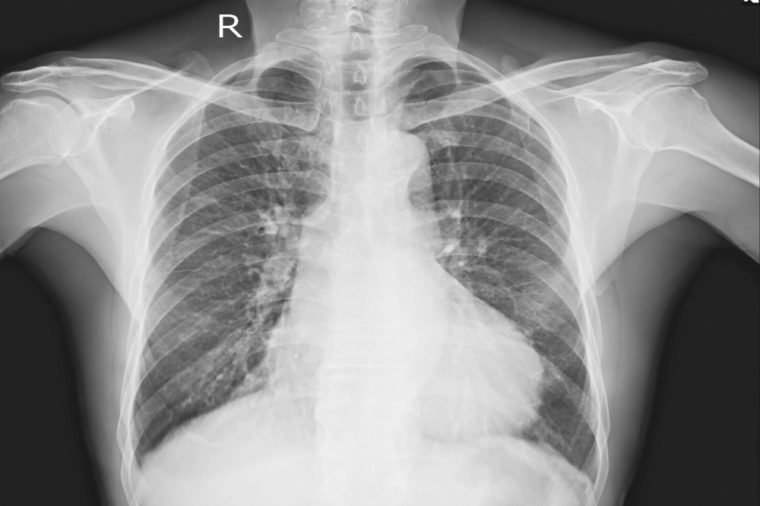
Pulmonary embolism

This bit of information could save your life someday: If you think you’ve pulled a muscle in your shoulder but the pain is so severe that you have difficulty sleeping or even lying down, get to an ER immediately. This type of shoulder pain could be a sign of a blood clot in your lungs, according to WebMD. You’ll be given anticoagulants or thrombolytic drugs to dissolve the clot, or possibly surgery. Without prompt treatment, a pulmonary embolism can cause damage to your lungs and other organs—and even be fatal. Here are 7 warning signs of a pulmonary embolism.
Heart problems

While chest pressure or pain is certainly the most common sign of heart issues, shoulder pain can be one too. According to the National Heart, Lung, and Blood Institute, people with angina can experience shoulder pain; their arms, neck, jaw, or back may also ache. Shoulder pain is also one of the many possible signs of a heart attack. Women, in particular, should pay attention to this unusual symptom, especially when it’s accompanied by sudden and inexplicable fatigue, lightheadedness, shortness of breath, and indigestion. Heart attack symptoms in women are often very different than in men; women often don’t experience traditional chest pain. Bottom line: If you’re feeling off, don’t mess around. See a doctor ASAP. Here are 8 sneaky heart attack symptoms women might be ignoring.
Cancer

Another source of shoulder pain could also be cancer—most often, lung cancer. According to a 2015 study, 14 percent of people with mesothelioma (which is usually due to asbestos exposure) reported shoulder pain, and it was often the first symptom. A couple of other types of lung cancer may also cause shoulder pain: pancoast tumors, which are located in the upper lungs, and metastatic lung cancer. The tricky thing about lung-cancer–related shoulder pain—called “referred pain” because it starts elsewhere in the body—is that it may not be severe and it can be mistaken for arthritis. Other telltale signs that cancer is the cause can be a chronic cough that sometimes produces blood, labored breathing, fatigue, unexplained weight loss, and recurrent respiratory infections.
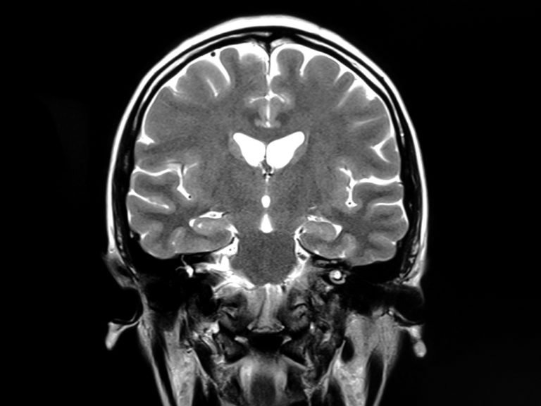
Subarachnoid hemorrhage

Hemorrhaging is terrible wherever it may occur, but it’s particularly bad when it happens in the space between the brain and its protective tissues. While shoulder pain is one possible symptom—as well as neck pain, vision problems, numbness, confusion, sensitivity to light, nausea, and seizures (among others)—the telltale sign of a subarachnoid hemorrhage (SAH) is a sudden and debilitating headache. This condition can be caused by a brain aneurysm, trauma, or blood thinners, and you’ll need immediate medical intervention to prevent brain damage and save your life. Here are 16 signs your headache could be something way worse.
Source: RD
















































